שבר ג'ונס
![]() |
יש לשכתב ערך זה. הסיבה לכך היא: דורש עריכה לשונית (תורגם על ידי אדם שאינו דובר עברית שפת אם). | ||
אתם מוזמנים לסייע ולתקן את הבעיות, אך אנא אל תורידו את ההודעה כל עוד לא תוקן הדף. אם אתם סבורים כי אין בדף בעיה, ניתן לציין זאת בדף השיחה. |
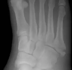
שבר ג'ונס (באנגלית: Jones fracture) הוא שבר בין הבסיס של עצם המטטרסל החמישית של כף הרגל לבין החלק האמצעי שלה.[1] זה גרום לכאב באזור האמצעי של כף הרגל בצד החיצוני.[2] ייתכנו גם שטפי דם וקשיים בהליכה.[3] השבר מופיע בדרך כלל באופן פתאומי.[4] השבר מתרחש בדרך כלל כאשר הבהונות מחודדות והרגל מכופפת פנימה.[2] [5] תנועה זו עלולה להתרחש בעת שינוי כיוון תנועת הרגל בזמן שהעקב רחוקה מהקרקע, למשל בריקוד, טניס, או כדורסל.[6] האבחון בדרך כלל מבוסס על הסימפטומים של התופעה, ומאושר על ידי צילומי רנטגן.[3]
בדרך כלל, הטיפול הראשוני נעשה באמצעות תחבושת גבס, בנוסף, נמנעים מללכת ולדרוך על הרגל. אם בכל זאת השבר לא מתאחה, אז מומלץ להישאר עם גבס למשך ששה שבועות נוספים. בגלל אספקת הדם הלקויה באזור זה, לעיתים השבר לא מתאחה בעזרת גבס, ונדרש ניתוח.[3] במצבים של שברי ג'ונס אצל ספורטאים, או במקרים שבהם חתיכות העצם נפרדות לגמרי שוקלים אופציית ניתוח כבר בשלבים יותר מוקדמים.[1][7] השבר תואר לראשונה בשנת 1902 על ידי אורתופד בשם רוברט ג'ונס, שנפצע וסבל משבר ג'ונס תוך כדי שרקד.[4][8]
אבחון

אדם שסובל משבר ג'ונס עלול לא לדעת שהשבר קרה, ועל כן האבחון עלול להיות קשה.
יש להבדיל בין שבר ג'ונס לבין בליטות עצם התפתחותיות שקורות בתקופת ההתבגרות באותו אזור, אפשר להבחין בהבדל על ידי סימנים כמו היעדרות טרשת של קצוות השבר (במקרים חמורים), כמו כן, בשברי ג'ונס ישנה נטייה רוחבית של 90 מעלות בקו השיפוע של כף הרגל מהציר של עצם המטטרסל, אך בבליטות עצם הנטייה מקבילה לציר עצם המטטרסל. אבחוני רנטגן כוללים מבט קדמי-אחורי, אלכסוני, רוחבי וצידי על הרגל בעת שהיא כפופה.
אבחנה מבדלת

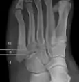
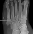
ישנם שברים נוספים שמתרחשים בעצם המטטרסל החמישית, אך אינם חמורים כמו שבר ג'ונס. אם השבר מתרחש במפרק הבין-מטטרסלי, אז זה שבר ג'ונס. אם, לעומת זאת, הוא מתרחש במפרק הטרה-מטטרסלי, אז מדובר בשבר תלישה, שלעיתים גם נקרא שבר ג'ונס מדומה (פסאודו-ג'ונס).
טיפול
גבס
הטיפול הראשוני הוא בדרך כלל על ידי תחבושת גבס למשך לפחות שישה שבועות,[7] מבלי לדרוך או לשים משקל על הרגל. אם בכל זאת השבר לא מתאחה אז ממליצים להשאיר את הגבס למשך עוד שישה שבועות.[7] בערך ב-50% מהמקרים, השבר לא מתאחה בעזרת הגבס בלבד.[2]
ניתוח
בשברי ג'ונס אצל ספורטאים, במקרים שבהם רוחב השבר הוא יותר מ-2 מ"מ או כאשר הגבס לא גורם לשבר להתאחה אפילו אחרי 12 שבועות, ניתוח עשוי להיות אפשרות מומלצת.[1][7]
פרוגנוזה
לסיבות שונות, שבר ג'ונס עלול לא להתאחה מכיוון שהדיאפיזה (גוף העצם), האזור שבו מתרחש השבר (אזור II), הוא אזור שאספקת הדם בו מעוטה. בנוסף, ישנם גידים שונים, כמו השריר השוקיתי הקצר, השריר השוקיתי השלישי ושני השרירים המחוברים לעצם שעלולים למשוך את שני צדדי השבר ולמנוע אותו מלהתאחה.
החיבור בין האזורים I ו-III הוא אמנם יחסית חזק, אך הוא מגביל את התנועה בצורה מעוטה. מצד שני, אזור II השני אינו מחובר באופן חזק, וכתוצאה מכך, ישנה הסכמה כללית ששברים באזור זה נחשבים כסוג של אימוביליזציה פנימית.
הבחנה בין אזורים אלה הוא דבר חשוב מבחינה קלינית, וניתן לעשות אותו באופן אנטומי וגם באמצעות קרני רנטגן.[9] לעיתים התערבות כירורגית כרוכה בסיבוכים, ולא תמיד מובילה להחלמת והתאחות השבר. דעות שמרניות, מעדיפות טיפול ללא ניתוח בשברי ג'ונס אצל אנשים שאינם ספורטאים.[10]
- שלושה אזורים מתוארים
- שני אזורים מתוארים
ראו גם
לקריאה נוספת
- ספר Wheeless' Textbook of Orthopaedics שמכיל פרק על שבר ג'ונס.
- Watson-Jones, Reginald (1982). Watson-Jones Fractures and joint injuries. Edinburgh New York: Churchill Livingstone. ISBN 978-0-443-02082-7.
קישורים חיצוניים
הערות שוליים
- 1 2 3 Physical medicine and rehabilitation : principles and practice, Philadelphia: Lippincott Williams & Wilkins, 4th ed, 2005
- 1 2 3 Orthopedic surgery clerkship : a quick reference guide for senior medical students, Cham: Springer, 2017
- 1 2 3 Toe and Forefoot Fractures, OrthoInfo
- 1 2 Victor Valderrabano, Mark E. Easley, Foot and ankle sports orthopaedics, Cham, Switzerland: Springer, 2016, ISBN 978-3-319-15735-1
- ↑ Dähnert, Wolfgang,, Radiology review manual, Philadelphia: Wolters Kluwer Health/Lippincott Williams Wilkins, Seventh edition, [2011], ©2011
- ↑ Edward Lee, Pediatric Radiology: Practical Imaging Evaluation of Infants and Children, Wolters Kluwer Health, 2017, פרק 24
- 1 2 3 4 David Bica, Ryan A. Sprouse, Joseph Armen, Diagnosis and Management of Common Foot Fractures, American Family Physician 93, 2016-02-01, עמ' 183–191
- ↑ R. Jones, I. Fracture of the Base of the Fifth Metatarsal Bone by Indirect Violence, Annals of Surgery 35, June 1902, עמ' 697–700.2
- ↑ Hans Polzer, Sigmund Polzer, Wolf Mutschler, Wolf C. Prall, Acute fractures to the proximal fifth metatarsal bone: Development of classification and treatment recommendations based on the current evidence, Injury 43, עמ' 1626–1632 doi: 10.1016/j.injury.2012.03.010
- ↑ Benjamin John Floyd Dean, Alpesh Kothari, Harpal Uppal, Raghubir Kankate, The Jones Fracture Classification, Management, Outcome, and Complications, Foot & Ankle Specialist 5, 2012-04-30, עמ' 256–259 doi: 10.1177/1938640012444730
הבהרה: המידע במכלול נועד להעשרה בלבד ואינו מהווה ייעוץ רפואי.

רישיון cc-by-sa 3.0